我院成功完成食道支架手术超200例
汨罗人民医院放射科及消化内镜中心于2017年5月17日再次成功为高龄食道癌患者成功置入食道支架。
患者姜先生,85岁,因进行性吞咽困难3月余到院就诊,无法进食,病变位于食道中下段,内镜下证实为食道癌。该病人属于高龄,病情较重、手术耐受力差、手术风险极高,主治医师和家属协商后,决定行食道支架置入术。消化内镜中心副主任医师谢丹与放射科仇亚军主任,经数字胃肠机X线引导准确定位,成功完成食道支架植入术。术后姜先生一般情况良好,吞咽情况得到很好的改善。
目前为止,我院共为200余名食道良恶性狭窄患者成功置入食道支架,食道支架治疗中晚期食道癌已成为临床治疗食道癌的重要手段,适用于不能耐受手术、手术风险高的高危患者,可有效改善晚期食道癌患者的生存质量,延长患者生存期。食道支架置入术为微创治疗技术,手术时间短,术后患者立即可进食,受到患者及家属的一致好评。


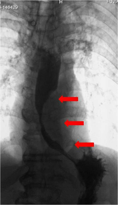
食道中下段癌性狭窄

食道支架置入术后,食道管腔通畅

消化道造影梗阻好转
